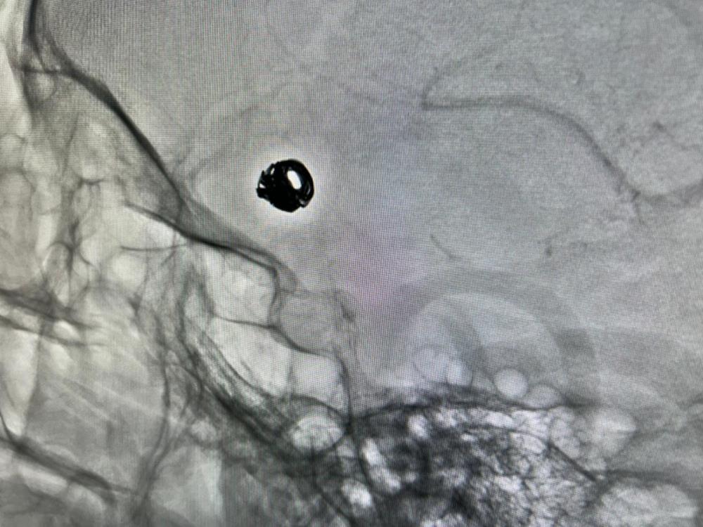
Bitlis Devlet Hastanesine bilinç bulanıklığı ve baş ağrısı şikâyetiyle başvuran 44 yaşındaki Sacide Derman, yapılan tetkiklerde beyin kanaması geçirdiği belirlenince ileri tedavi için Van Eğitim ve Araştırma Hastanesi'ne sevk edildi. Burada gerçekleştirilen anjiyografi sonucunda hastanın beyin damarlarında anevrizma (damar baloncuğu) tespit edildi. Girişimsel Radyoloji Merkezi'nde uygulanan kapalı anjiyografik yöntemle, kasıktan girilerek beyin damarlarına ulaşıldı ve anevrizma platin tel (coil) kullanılarak kapatıldı. İşlem sonrası takibi yapılan hastanın sağlık durumunun iyiye gittiği belirtildi.

Konuya ilişkin açıklama yapan Hastane Başhekimi Doç. Dr. Remzi Sarıkaya, her türlü komplike hastanın merkezlerine sevk edildiğini belirtti. Doç. Dr. Sarıkaya, "Hastamızın dış merkezde yapılan tomografi incelemesinde beyin kanaması ve beyin damarlarında anevrizma tespit edildi. Bunun üzerine hasta 112 ambulansı ile Van Eğitim ve Araştırma Hastanesi'ne sevk edildi. Kasıktan girilerek beyin damarlarına ulaşıldı ve endovasküler (kapalı yöntem) tedaviye uygun olduğuna karar verildi. Yaklaşık 1,5 saat süren işlemde, anevrizmanın içine platin teller (coil) yerleştirildi. Bu sayede baloncuğun kanla dolması engellenerek yeniden kanama ihtimali ortadan kaldırıldı" dedi.

Bitlis Devlet Hastanesi'ne baş ağrısı ve bilinç bulanıklığı şikâyetiyle başvuran hastanın daha sonra kendilerine sevk edildiğini aktaran Girişimsel Radyoloji Uzmanı Dr. Berat Demiral ise "Yapılan tomografi incelemesinde beyin kanaması tespit ediliyor. Ardından çekilen tomografik anjiyoda beyin damarlarında anevrizma (damar baloncuğu) tespit ediliyor. Bunun üzerine hasta, tedavi amacıyla 112 ambulansı ile Van Eğitim ve Araştırma Hastanesi'ne sevk ediliyor.

Hastaya ilk olarak anjiyo işlemi yapıldı. Kasıktan girilerek beyin damarlarına özel kateterlerle ulaşıldı ve anevrizmanın endovasküler (kapalı yöntem) tedaviye uygun olduğuna karar verildi. Yaklaşık 1,5 saat süren işlemde, anevrizmanın ağzına mikrokateterle ulaşılarak içine platin teller (coil) yerleştirildi. Bu yöntemle baloncuğun kanla dolması engellendi ve yeniden kanama ihtimali ortadan kaldırıldı" diye konuştu.

"Kapalı yöntem, hasta açısından daha konforludur"
Anevrizma tedavisinde iki farklı yöntemin bulunduğunu hatırlatan Demiral, sözlerini şöyle sürdürdü:
"İlki bizim uyguladığımız kapalı yöntemdir. Bu yöntemde kasıktan girilerek beyin damarına ulaşılır, baloncuk platin telle kapatılır. İkincisi ise açık beyin ameliyatıdır. Bu yöntemde kafatası açılarak anevrizmanın boynuna klips adı verilen özel bir kıskaç yerleştirilir ve baloncuğun kanla dolması önlenir. Her iki yöntemde de amaç aynıdır; baloncuğu devre dışı bırakmak. Ancak kapalı yöntem, hasta açısından daha konforludur. Açık yara olmadığından komplikasyon riski daha düşüktür ve hastanede kalış süresi daha kısa olup hastalar daha kısa sürede günlük aktivitelerine dönebilmektedir. Hastamızı bir hafta önce işlem için almıştık. Şu anda durumu gayet iyi olup takibi ve ilaç tedavisi devam etmektedir."






